CT

GE社製Revolution ACT(16列)を導入しています。X線を利用して体の断面(輪切り)を撮像する検査です。この輪切りの画像をコンピューターで処理することにより、様々な方向からの断面像や3D画像を得ることができます。
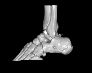
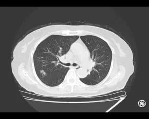
CTで検査した画像
MRI

GE社製のSIGNA Creator 1.5T(テスラ)を導入しています。強力磁石と電波を使って体内の状態を鮮明に見ることができます。膝関節疾患を始めとする他の関節の疾患はもちろん、神経、筋肉・腱の異常や、腫瘍病変などの診断に有用です。
MRIで検査した画像
骨密度測定装置(DEXA)

GE社製のLunar PRODIGY Fuga Cを導入しています。2つの異なるエネルギーのX線を用いることにより、骨と筋肉や脂肪などの軟組織を分離し、正確な骨量を測定します。検査に用いるX線量は極めて少ないので、身体に影響はありません。
当院ではX線を使用し骨密度を測定するDXA方式の機器を採用しております。
この方式は腰椎と大腿骨の2箇所を測定することで、正確な検査結果を出すことが可能です。
骨粗しょう症は60代以上の女性の3人にひとり、男性では5人にひとりが罹患している可能性のある病気です。骨がもろくなっているため、骨折してしまう前にお薬で骨密度を増やす治療をする必要があります。定期的に骨密度を測定して、自分の現在の状態を把握しましょう。
骨粗しょう症とは

骨粗しょう症とは骨の成分量である骨量が減少してスカスカとなり、骨がもろく折れやすくなる病気です。骨量は成長期に増加して30~40歳で最大に達し、それ以降は年齢とともに減少します。
骨量が極度に減少し、骨折の危険性が高い状態を骨粗しょう症といいます。その状態で転倒などの衝撃が加わると骨折してしまうことがあります。
骨密度は30代以降に加齢とともに減少します。女性の場合は女性ホルモンのエストロゲンが骨量を維持する働きがありますので、エストロゲンの分泌が減る40代後半からは急激に骨密度が減少し、更年期以降に骨粗しょう症になる女性が増えてきます。また、最近は若い世代にもダイエットや運動不足から骨密度が低下していることが少なくありません。
以前は、一度減ってしまった骨量はなかなか戻すことはできませんでした。しかし近年画期的な薬が開発され、減ってしまった骨量を増やすことができるようになってきました。
まずは1度検査を受けて自分の骨の状態を確認することをおすすめします。
骨量が極度に減少し、骨折の危険性が高い状態を骨粗しょう症といいます。その状態で転倒などの衝撃が加わると骨折してしまうことがあります。
骨密度は30代以降に加齢とともに減少します。女性の場合は女性ホルモンのエストロゲンが骨量を維持する働きがありますので、エストロゲンの分泌が減る40代後半からは急激に骨密度が減少し、更年期以降に骨粗しょう症になる女性が増えてきます。また、最近は若い世代にもダイエットや運動不足から骨密度が低下していることが少なくありません。
以前は、一度減ってしまった骨量はなかなか戻すことはできませんでした。しかし近年画期的な薬が開発され、減ってしまった骨量を増やすことができるようになってきました。
まずは1度検査を受けて自分の骨の状態を確認することをおすすめします。
手術支援ロボット

当院は、多摩エリア初(東京都で2番目)の新しい人工膝関節置換術手術支援ロボット「ROSA Knee」を導入しました。
膝関節が変形する「変形性膝関節症」の患者さんは、全国で推定約1,000万人いるといわれています。ROSA Kneeはその変形性膝関節症に対する治療法のひとつである「人工膝関節置換術」のサポートに特化し、術後成績の向上が期待できる手術支援ロボットです。手術中にそれぞれの膝に適した軟部組織(骨ではない組織。靱帯など)バランスの評価を反映してより正確に人工膝関節のインプランテーションをサポートする機能が備えられています。よって、ロボットは術者をサポートすることで、より精度の高い手術が可能になることや術後疼痛の軽減や早期機能回復など満足度の向上や長期成績の向上が期待されます。
膝関節が変形する「変形性膝関節症」の患者さんは、全国で推定約1,000万人いるといわれています。ROSA Kneeはその変形性膝関節症に対する治療法のひとつである「人工膝関節置換術」のサポートに特化し、術後成績の向上が期待できる手術支援ロボットです。手術中にそれぞれの膝に適した軟部組織(骨ではない組織。靱帯など)バランスの評価を反映してより正確に人工膝関節のインプランテーションをサポートする機能が備えられています。よって、ロボットは術者をサポートすることで、より精度の高い手術が可能になることや術後疼痛の軽減や早期機能回復など満足度の向上や長期成績の向上が期待されます。
「ROSA Knee」の特長
- 通常手技に近い感覚で医師は手術を行える。
- 術者の自由度が高い。
- 手術を術者の経験や感覚だけではなく正確な数値で可視化されることで安全・安心な手術が可能になる。
- 角度やインプラントの設置位置などを0.5°、0.5mm単位で術中に微調整が可能である。
- 正確な手術が可能になり患者さんの満足度向上につながることが期待できる。
- 患者さん個々の膝に合わせたカスタム手術が可能になる。
- 靭帯バランスの向上やインプラントの設置精度の向上が期待できる。
といった点が挙げられます。




















